



Astăzi trăiesc mai liniștiți, mai încrezători, mai prezenți în viața lor.
Tehnologia pe care o folosim ne ajută să vă oferim tratament predictibil, adaptat situației dvs. și realizat cu un nivel ridicat de control.


Dantura Fixă pe Implanturi este o opțiune de tratament pentru situațiile în care mai mulți dinți lipsesc sau nu mai pot fi salvați. Procedura presupune folosirea unui număr de implanturi, poziționate pentru a susține o lucrare fixă.
Această abordare permite restaurarea funcției de masticație și îmbunătățirea confortului zilnic, oferind o alternativă la protezele mobile. Planificarea se face digital, iar fiecare etapă este adaptată situației dvs. clinice.
Tratamentul poate include implanturi All-on-4/6 sau implanturi zigomatice, în funcție de volumul osos disponibil. Soluția este potrivită pacienților care își doresc o lucrare fixă și stabilă, atunci când pierderea dentară este mare.
Reintegrare socială și confort în interacțiuni
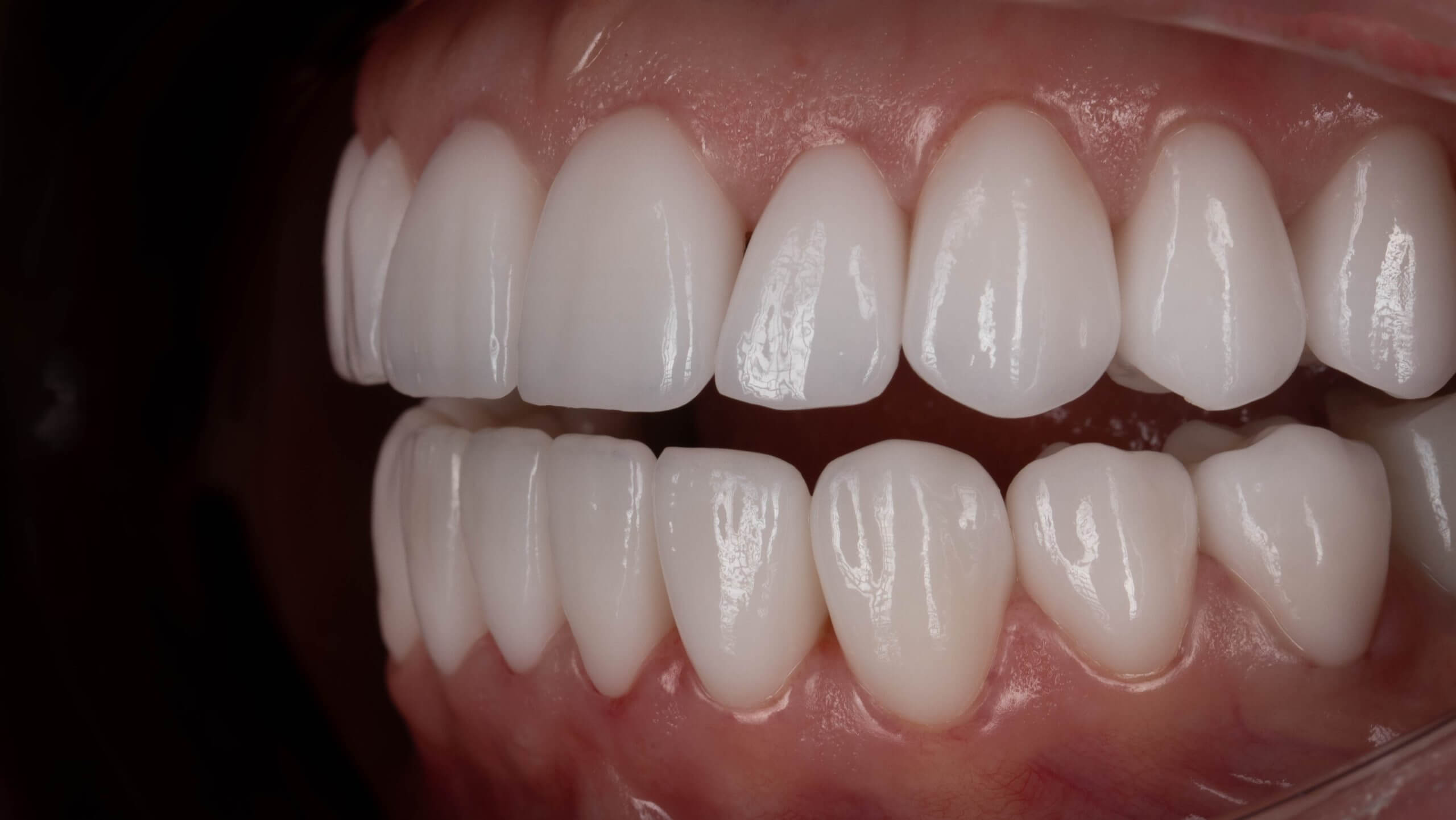
Dantură fixă, stabilă și confortabilă
Susținere corectă a feței și masticație eficientă
„Experiență excepțională de la consultație până la finalizare! Dr. Mitachi și echipa sa, sunt medici desăvârșiți, care explică fiecare pas și te fac să te simți în siguranță. Am primit arcade complete în timp record. Clinica este dotată cu tehnologie de ultimă generație. Rezultatul final este peste așteptările mele. Recomand cu toată încrederea Dr. Mitachi!”


Un tratament ortodontic personalizat vă poate readuce un zâmbet armonios și sănătos. Corectarea alinierii dentare redă încrederea în propriul zâmbet, iar rezultatul final reflectă o estetică naturală și o funcționalitate optimă. Fotografiile surprind exact transformarea obținută și succesul intervenției.
Procedura cu fațete dentare vă ajută să obțineți un zâmbet uniform, cu o culoare echilibrată și un aspect natural. Rezultatul final armonizează estetica feței și oferă confort în vorbire și masticație, menținând funcționalitatea optimă a fiecărui dinte.

Pacientul s-a prezentat cu parodontoză agresivă și dorința de a-și recăpăta funcționalitatea și estetica zâmbetului. S-a realizat o reabilitare totală cu dantură fixă din zirconiu, susținută de câte 8 implanturi pe fiecare arcadă. Rezultatul: un zâmbet stabil, natural și durabil.
înainte

după


Pacienta s-a prezentat cu dorința de a avea dinți ficși, proteza mobilă purtată anterior fiind greu de suportat.
Am realizat dantură fixă din zirconiu pe 6 implanturi la maxilarul superior, iar la mandibulă am reabilitat cu lucrări fixe din zirconiu, unitare pe dinții frontali și pe implanturile din zona laterală.
Rezultatul: confort, stabilitate și un zâmbet complet redat.
înainte

după


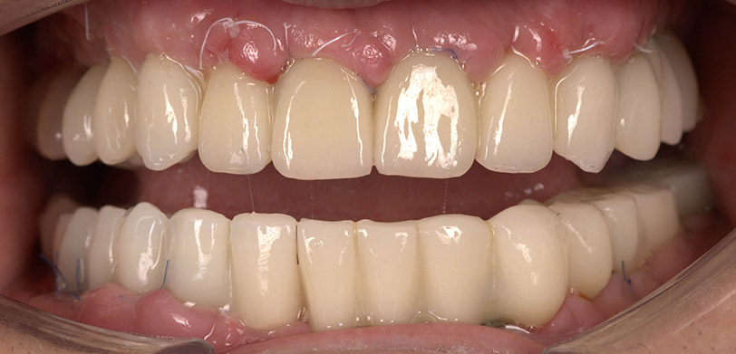
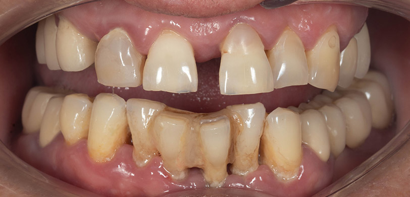
Pacienta s-a prezentat cu dinți irecuperabili și lucrări vechi care îi afectau zâmbetul și confortul.
Am realizat o reabilitare completă cu dantură fixă din zirconiu pe 6 implanturi la maxilarul superior, iar la mandibulă am refăcut lucrări fixe din zirconiu pe implanturile laterale și fațete pe dinții frontali.
Rezultatul: un zâmbet restaurat, confort și încredere redobândite!
înainte

după


Pacientul s-a prezentat cu probleme estetice și funcționale majore, agravate de mobilitatea generalizată a dinților.
Am realizat o proteză fixă din zirconiu pe 8 implanturi la maxilarul superior și o proteză fixă din metalo-ceramică pe 7 implanturi la mandibulă.
Rezultatul: zâmbet stabil, funcțional și complet redobândit!
înainte

după

Oferim posibilitatea de achitare în rate pentru serviciile din cadrul clinicii, alege soluția achită comod.
Frică, durere? Cunoaștem acești termeni și știm că poate fi un impediment. Folosim sedare conștientă, pentru un tratament cât mai sigur.
Avem în echipă doar experți, ce frecventează continuu cursuri de perfecționare de la cei mai buni, pentru a opera cu tehnologiile și echipamentele revoluționare, deținute de clinica noastră.
Nu suntem o clinică oricare, activăm până la 20:00. La noi beneficiezi de parcare, ceai sau cafea, ai unde să îți încarci dispozitivul și dispoziția, totul pentru un tratament fără grijă.
Dr. Mitachi nu este doar un studio dentar, ci o echipă de specialiști formați la standarde internaționale, dedicată soluțiilor personalizate pentru fiecare pacient.

Cu o experiență de peste 9 ani în chirurgia și protetica dentară, Dr. Mitachi îmbină precizia intervențiilor chirurgicale cu expertiza în estetică dentară și reabilitări orale complexe. Viziunea sa profesională se reflectă în dezvoltarea unei clinici moderne, orientate spre tratamente minim invazive, soluții personalizate și o stomatologie construită în jurul confortului dvs.
Absolvent la Universitatea de Medicină G.T. Popa, din Iași, și-a continuat formarea prin rezidențiat în chirurgie dento-alveolară, urmată de numeroase cursuri de perfecționare în centre internaționale.
Consultația generală costă 200 MDL și include evaluarea clinică și elaborarea unui plan de tratament personalizat. Investigațiile (radiografie, CT) se achită separat.
Da. Clinica dispune de radiologie digitală și CT (Computer Tomograf) 3D, Radiografie 2D, Teleradiografie astfel toate investigațiile necesare pot fi realizate în aceeași vizită.
Da. Clinica oferă opțiuni de plată în rate, stabilite în funcție de complexitatea tratamentului și necesitățile dumneavoastră financiare.
Clinica activează de luni până vineri, între 09:00 și 18:00, dar în cazuri excepționale organizăm programări și înafara zilelor sau orelor de lucru obișnuite.
Da. Secția de pedodonție se ocupă de tratamente pentru copii, inclusiv obturații, sigilări, tratamente pulpare și îngrijire preventivă.
Se folosesc implanturi premium, de producție Coreene și elvețiană, alese în funcție de indicația medicală și necesitățile fiecărui pacient.
Da. În clinică se utilizează anestezie locală, sedarea conștientă și anestezia generală, sub supravegherea medicului ATI.
Da. Clinica dispune de laborator dentar propriu, ceea ce permite realizarea lucrărilor protetice cu control direct asupra etapelor, timpului și calității finale.
Da. Toate cele șase cabinete sunt dotate cu microscop dentar, folosit constant în tratamentele endodontice, protetice, restaurative si chirurgicale.
Da. Clinica este situată într-o zonă accesibilă și dispune de locuri de parcare pentru pacienți.
Peste 100 de pacienți și-au împărtășit experiența. Le suntem recunoscători pentru încredere și continuăm să oferim îngrijire și rezultate de calitate.