

Pacientul s-a prezentat cu parodontoză agresivă și dorința de a-și recăpăta funcționalitatea și estetica zâmbetului. S-a realizat o reabilitare totală cu dantură fixă din zirconiu, susținută de câte 8 implanturi pe fiecare arcadă. Rezultatul: un zâmbet stabil, natural și durabil.
înainte

după


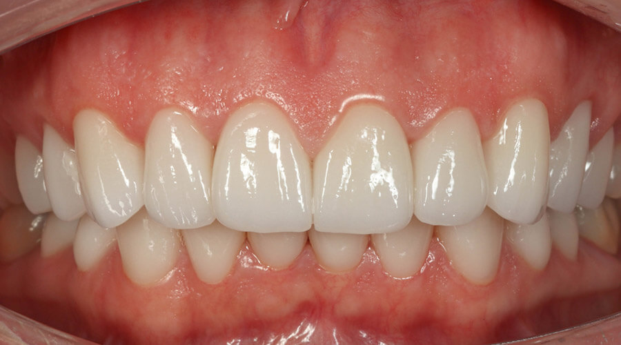
Pacienta s-a prezentat cu dorința de a avea dinți ficși, proteza mobilă purtată anterior fiind greu de suportat.
Am realizat dantură fixă din zirconiu pe 6 implanturi la maxilarul superior, iar la mandibulă am reabilitat cu lucrări fixe din zirconiu, unitare pe dinții frontali și pe implanturile din zona laterală.
Rezultatul: confort, stabilitate și un zâmbet complet redat.
înainte

după


Pacienta s-a prezentat cu dinți irecuperabili și lucrări vechi care îi afectau zâmbetul și confortul.
Am realizat o reabilitare completă cu dantură fixă din zirconiu pe 6 implanturi la maxilarul superior, iar la mandibulă am refăcut lucrări fixe din zirconiu pe implanturile laterale și fațete pe dinții frontali.
Rezultatul: un zâmbet restaurat, confort și încredere redobândite!
înainte

după


Pacientul s-a prezentat cu probleme estetice și funcționale majore, agravate de mobilitatea generalizată a dinților.
Am realizat o proteză fixă din zirconiu pe 8 implanturi la maxilarul superior și o proteză fixă din metalo-ceramică pe 7 implanturi la mandibulă.
Rezultatul: zâmbet stabil, funcțional și complet redobândit!
înainte

după


Pacientul și-a dorit să își recâștige zâmbetul pierdut din cauza „parodontozei”.
Am realizat o reabilitare completă cu dantură fixă din zirconiu, pe câte 8 implanturi pe fiecare arcadă, oferindu-i stabilitate și estetică impecabilă.
Rezultatul: un zâmbet natural, puternic și durabil, care îi redă încrederea și confortul de a zâmbi din nou.
înainte

după


Pacientul se afla într-un stadiu critic al sănătății dentare, care îi afecta grav funcția și confortul.
Am realizat două proteze fixe metalo-ceramice pe câte 4 implanturi, sus și jos, redându-i posibilitatea de a mânca fără durere și zâmbetul pierdut.
Rezultatul: confort, stabilitate și încredere redobândite!
înainte

după



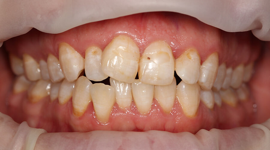
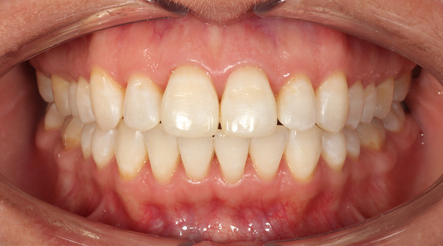
Pacienta, s-a prezentat la clinică cu preocupări majore legate de estetică dentară, menționând inghesuirea dentară și disfuncții ale mușcăturii. Aceste probleme au dus la un zâmbet afectat estetic și la disconfort funcțional.
Am rezolvat cazul prin intermediul tratamentului ortodontic cu alignere.
înainte

după


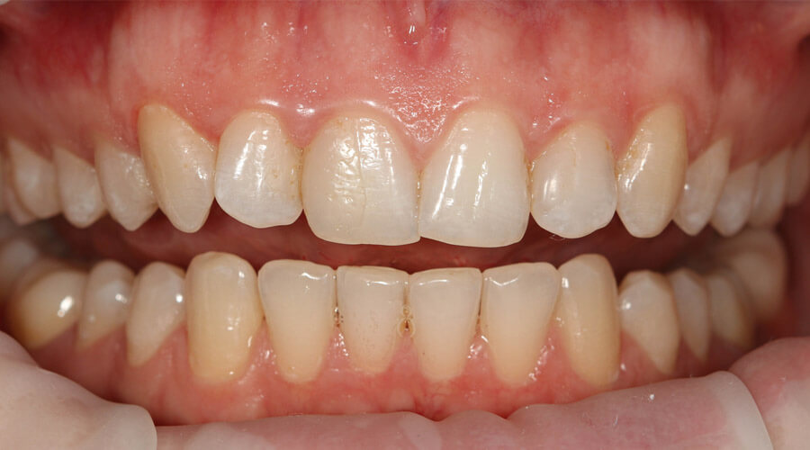
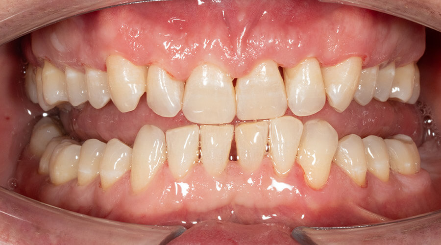
Pacienta, a venit la clinica noastră cu principalele preocupări legate de estetică dentară, caracterizate de inghesuiri dentare și probleme de mușcătură. Aceste disfuncții nu doar că afectau zâmbetul său, dar îi creau și un disconfort psihologic, influențându-i încrederea în sine.
Am realizat un tratament protetic minim invaziv cu fatete dentare.
înainte

după

Pacientul, s-a prezentat la clinica noastră cu plângeri semnificative, incluzând miros urât din cavitatea bucală, sângerări ale gingiilor și mobilitate dentară. Am relizat urmatoarele manopere:
– Igienizare profundă în două etape
– Terapie parodontală cu laser
– Utilizarea aparatului Vector Paro Pro
înainte

după


Pacientul s-a prezentat cu probleme estetice și funcționale majore, agravate de mobilitatea generalizată a dinților.
Am realizat o proteză fixă din zirconiu pe 8 implanturi la maxilarul superior și o proteză fixă din metalo-ceramică pe 7 implanturi la mandibulă.
Rezultatul: zâmbet stabil, funcțional și complet redobândit!
înainte

după

Consultația generală costă 200 MDL și include evaluarea clinică și elaborarea unui plan de tratament personalizat. Investigațiile (radiografie, CT) se achită separat.
Da. Clinica dispune de radiologie digitală și CT (Computer Tomograf) 3D, Radiografie 2D, Teleradiografie astfel toate investigațiile necesare pot fi realizate în aceeași vizită.
Da. Clinica oferă opțiuni de plată în rate, stabilite în funcție de complexitatea tratamentului și necesitățile dumneavoastră financiare.
Clinica activează de luni până vineri, între 09:00 și 18:00, dar în cazuri excepționale organizăm programări și înafara zilelor sau orelor de lucru obișnuite.
Da. Secția de pedodonție se ocupă de tratamente pentru copii, inclusiv obturații, sigilări, tratamente pulpare și îngrijire preventivă.
Se folosesc implanturi premium, de producție Coreene și elvețiană, alese în funcție de indicația medicală și necesitățile fiecărui pacient.
Da. În clinică se utilizează anestezie locală, sedarea conștientă și anestezia generală, sub supravegherea medicului ATI.
Da. Clinica dispune de laborator dentar propriu, ceea ce permite realizarea lucrărilor protetice cu control direct asupra etapelor, timpului și calității finale.
Da. Toate cele șase cabinete sunt dotate cu microscop dentar, folosit constant în tratamentele endodontice, protetice, restaurative si chirurgicale.
Da. Clinica este situată într-o zonă accesibilă și dispune de locuri de parcare pentru pacienți.
Peste 100 de pacienți și-au împărtășit experiența. Le suntem recunoscători pentru încredere și continuăm să oferim îngrijire și rezultate de calitate.