Redobândiți dantura fixă și
confortul de zi cu zi

Aflați mai multe detalii

Beneficiile metodei
Fast & Fixed

  • Aspect facial întinerit
  • Masticație stabilă și controlată
  • Încrederea în sine
  • Zâmbet natural

Tratăm situații simple sau complexe: de la lipsă totală de dinți, până la parodontoză avansată sau resorbție osoasă.
Aveți alături un medic cu rezultate solide și experiență dedicată cazurilor de reabilitare completă.

Mitachi Dental Health

Dr. Mitachi Constantin

Medic Specialist: Chirurg Dentoalveolar

Experiență

9 ani

A tratat peste

7000+ pacienți

De ce pacienții aleg Clinica Dr. Mitachi?

Mitachi Dental Health
Certificări și protocoale internaționale de excelență, aplicabile atât pentru cazuri simple cât și pentru cele mai severe atrofii.
Mitachi Dental Health
Echipă multidisciplinară dedicată tratamentelor complexe, cu peste 20 de ani experiență în reabilitări complexe, implanturi și reconstrucții osoase.
Mitachi Dental Health
Săli chirurgicale concepute pentru chirurgie avansată, cu nivel maxim de siguranță și sterilitate.
Mitachi Dental Health
Laborator tehnic propriu și echipamente doar din Elveția și Germania, pentru cele mai precise și estetice lucrări protetice, fără durere.
Mitachi Dental Studio
Mitachi Dental Studio
Visul meu a devenit realitate!

„Am primit dantură fixă în 24 de ore și nu pot să cred transformarea! Echipa a fost extraordinarde profesionistă și atentă. După ani de proteze mobile incomode, acum pot mânca și zâmbi fără griji. Echipa Dr. Mitachi a fost minunată pe tot parcursul tratamentului. Sunt recunoscătoare pentru rezultatul obținut și recomand cu toată inima!”

Cum s-a schimbat viața pacienților după
tratamentul cu Dantura Fixă

Nu sunteți singur/ă.
Ajutăm zilnic zeci de pacienți cu situații similare

Mitachi Dental Health
Aveți dantura deteriorată și lipsesc unul sau mai mulți dinți?
Mitachi Dental Health
Este timpul să înlocuiți protezele mobile care vă dau disconfort?
Mitachi Dental Health
Ați pierdut dinți complet sau progresiv și vreți o soluție stabilă?
Mitachi Dental Health
Ați observat semne de parodontoză?
Mitachi Dental Health
Aveți lucrări dentare vechi sau deteriorate?

Durerea are o cauză. Soluția există - Dantura fixă pe implanturi.

    Prin folosirea acestui formular sunteți de acord cu stocarea și folosirea datelor introduse

    Mitachi Dental Studio

    Ce este și când se recomandă Dantura Fixă pe Implanturi?

    Dantura Fixă pe Implanturi - All on X Mitachi Dental Studio

    Dantura Fixă pe Implanturi este o opțiune de tratament pentru situațiile în care mai mulți dinți lipsesc sau nu mai pot fi salvați. Procedura presupune folosirea unui număr de implanturi, poziționate pentru a susține o lucrare fixă.

    Această abordare permite restaurarea funcției de masticație și îmbunătățirea confortului zilnic, oferind o alternativă la protezele mobile. Planificarea se face digital, iar fiecare etapă este adaptată situației dvs. clinice.

    Tratamentul poate include implanturi All-on-4/6 sau implanturi zigomatice, în funcție de volumul osos disponibil. Soluția este potrivită pacienților care își doresc o lucrare fixă și stabilă, atunci când pierderea dentară este mare.

    Reintegrare socială și confort în interacțiuni

    Dantură fixă, stabilă și confortabilă

    Susținere corectă a feței și masticație eficientă

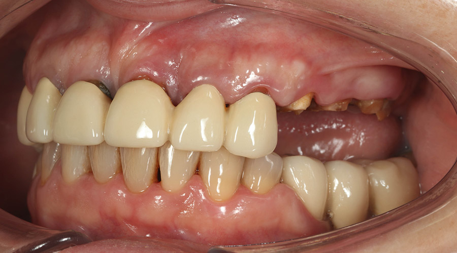
    Proteza Mobilă a devenit o problemă.
    Dantura Fixă e soluția.

    Mitachi Dental Health

    Proteza mobilă (clasică, detașabilă)

    Protezele mobile pot reduce gustul mâncării deoarece acoperă cerul gurii, o zonă importantă pentru percepția alimentelor. În același timp, atunci când lipsesc mai mulți dinți, mâncarea nu este mestecată corect și nu ajunge să atingă limba pe toată suprafața ei. Din acest motiv, gustul este mai slab, plăcerea meselor scade, iar digestia nu mai pornește în mod natural așa cum ar trebui.

    • Instabilitate – se poate mișca în timpul vorbirii sau masticației.
    • Limitări alimentare – evitați alimente tari sau lipicioase.
    • Disconfort – poate provoca răni, presiune și iritații ale gingiilor.
    • Estetică redusă – aspect artificial, volum mărit.
    • Resorbție osoasă accelerată – osul se retrage în timp.
    • Necesită adezivi / ajustări frecvente.
    • Scade încrederea – teamă că se mișcă sau se desprinde.
    Mitachi Dental Health

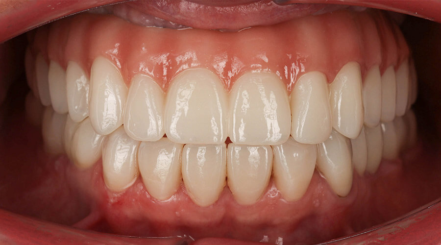
    Dantura Fixă pe Implanturi - All on X

    Dantura fixă pe implanturi este o soluție modernă, stabilă și estetică, ce înlocuiește complet dinții lipsă cu o lucrare fixă ancorată pe implanturi, oferind senzația și funcționalitatea unor dinți naturali.

    • Stabilitate completă – nu se mișcă, nu alunecă, nu creează disconfort.
    • Masticație firească – mâncați ceea ce doriți, fără limitări.
    • Estetică superioară – aspect natural, armonios, adaptat feței dumneavoastră.
    • Confort ridicat – senzație apropiată de dinții naturali.
    • Previne resorbția osoasă – menține structura maxilarului în timp.
    • Durabilitate mare – soluție de lungă durată, cu intervenții minime.
    • Crește încrederea și calitatea vieții – zâmbet natural, fără jenă sau teamă.

    De la durere la încredere: transformarea în doar 5 pași

    [01]

    Prima Consultație

    La prima întâlnire discutăm situația dvs, obiectivele și tot ceea ce vă preocupă. Apoi realizăm tomografia computerizată (CT) pentru a vedea cu exactitate structura osoasă și sănătatea dinților. Pe baza acestor date, analizăm împreună fiecare detaliu și stabilim planul de tratament potrivit pentru cazul dvs.
    Mitachi Dental Health
    [02]

    Personal Dedicat

    Veți avea alături o echipă care vă cunoaște, vă însoțește și vă ghidează în fiecare etapă. Fără griji. Fără incertitudini. Doar claritate și suport real.
    Mitachi Dental Health
    [03]

    Investigație și Planificare

    Printr-o analiză completă și investigațiile necesare, modelăm un plan exact, fără presupuneri. Totul este calculat cu precizie, astfel încât tratamentul să fie previzibil, sigur și adaptat în detaliu situației dvs reale.
    Mitachi Dental Health
    [04]

    Tratament

    Intervenția este realizată cu protocoale clare cu tehnologie modernă. Ne asigurăm că fiecare pas este clar și ușor pentru dvs.
    Mitachi Dental Health
    [05]

    Lucrarea Definitivă

    Primiți lucrarea definitivă, stabilă, estetică și adaptată. Mâncați, zâmbiți și vorbiți fără teamă. Redobândiți funcționalitatea, estetica și liniștea de care aveți nevoie pentru a vă bucura, din nou de viață.
    Mitachi Dental Health

    Contactați-ne, primul pas este mai simplu decât pare

    Mitachi Dental Studio Mitachi Dental Studio Mitachi Dental Studio

      Prin folosirea acestui formular sunteți de acord cu stocarea și folosirea datelor introduse

      Prezențe media și viziunea clinicii

      Arăt mai tânăr cu 10 ani!

      „Experiență excepțională de la consultație până la finalizare! Dr. Mitachi și echipa sa, sunt medici desăvârșiți, care explică fiecare pas și te fac să te simți în siguranță. Am primit arcade complete în timp record. Clinica este dotată cu tehnologie de ultimă generație. Rezultatul final este peste așteptările mele. Recomand cu toată încrederea Dr. Mitachi!”

      Mitachi Dental Studio
      Mitachi Dental Studio

      Prețuri pentru Dantura Fixă Premium de la Dr. Mitachi

      Am format 3 pachete de start orientative pentru Dvs., care pot fi ajustate în dependență de cazul clinic.

      DANTURĂ FIXĂ pe 4 implanturi PREMIUM

      Mitachi Dental Health

      *de la 2349 euro

      Solicitați informații despre All-on-4

      * acesta este prețul de start orientativ, include opțiunile descrise mai jos și poate varia în dependență de materialul ales și proteza finală, solicitați mai multe detalii de la Managerul Personal

      • Consultație
      • Radiografie primară
      • 4 implante
      • 4 multi units
      • Proteza temporară
      • Radiografie de control
      • Antibiotice
      • Recovery care set (periuță ultra fină, apa de gură, pastă de dinți, etc)

      DANTURĂ FIXĂ pe 6 implanturi PREMIUM

      Mitachi Dental Health

      *de la 2949 euro

      Solicitați informații despre All-on-6

      * acesta este prețul de start orientativ, include opțiunile descrise mai jos și poate varia în dependență de materialul ales și proteza finală, solicitați mai multe detalii de la Managerul Personal

      • Consultație
      • Radiografie primară
      • 6 implante
      • 6 multi units
      • Proteza temporară
      • Radiografie de control
      • Antibiotice
      • Recovery care set (periuță ultra fină, apa de gură, pastă de dinți, etc)

      DANTURĂ FIXĂ pe 8 implanturi PREMIUM

      Mitachi Dental Health

      *de la 3449 euro

      Solicitați informații despre All-on-8

      * acesta este prețul de start orientativ, include opțiunile descrise mai jos și poate varia în dependență de materialul ales și proteza finală, solicitați mai multe detalii de la Managerul Personal

      • Consultație
      • Radiografie primară
      • 8 implante
      • 8 multi units
      • Proteza temporară
      • Radiografie de control
      • Antibiotice
      • Recovery care set (periuță ultra fină, apa de gură, pastă de dinți, etc)

      Vedeți cum am rezolvat diverse cazuri de dantură deteriorată

      Zâmbete transformate, cazuri reale

      Mitachi Dental Health

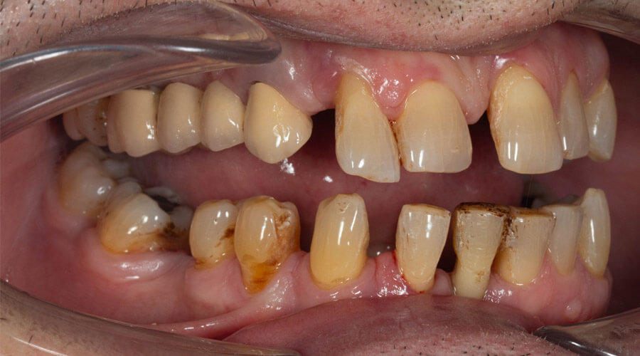
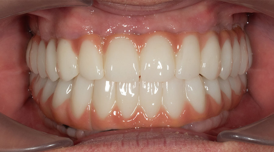
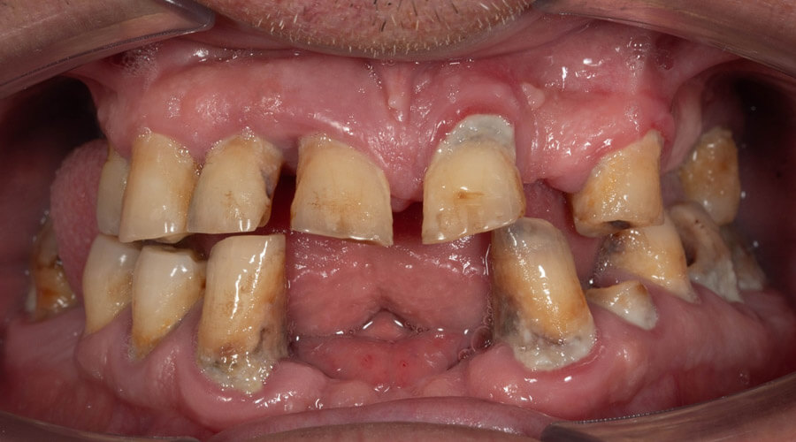
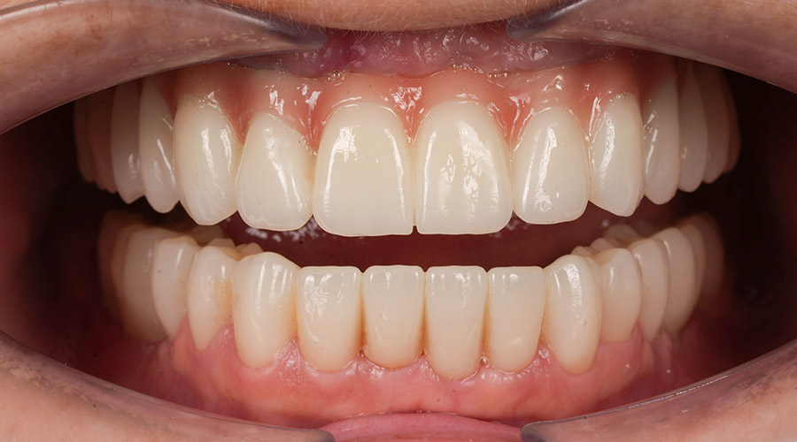
      Pacient, 54 de ani

      Pacientul s-a prezentat cu parodontoză agresivă și dorința de a-și recăpăta funcționalitatea și estetica zâmbetului. S-a realizat o reabilitare totală cu dantură fixă din zirconiu, susținută de câte 8 implanturi pe fiecare arcadă. Rezultatul: un zâmbet stabil, natural și durabil.

      înainte

      Mitachi Dental Health

      după

      Mitachi Dental Health
      Mitachi Dental Health

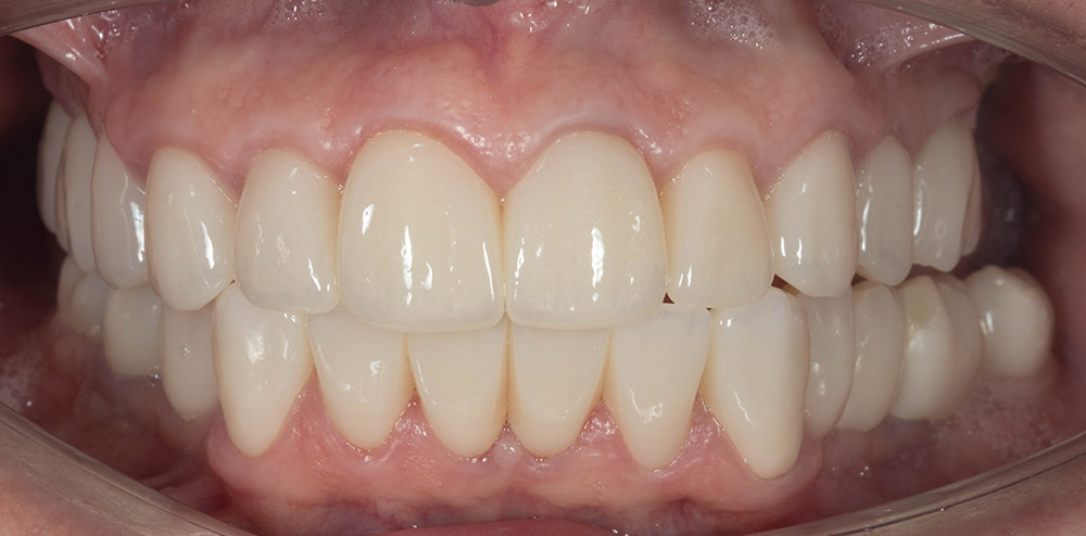
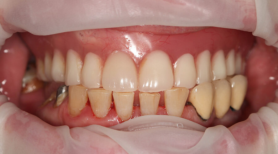
      Pacient, 64 de ani

      Pacienta s-a prezentat cu dorința de a avea dinți ficși, proteza mobilă purtată anterior fiind greu de suportat.
      Am realizat dantură fixă din zirconiu pe 6 implanturi la maxilarul superior, iar la mandibulă am reabilitat cu lucrări fixe din zirconiu, unitare pe dinții frontali și pe implanturile din zona laterală.
      Rezultatul: confort, stabilitate și un zâmbet complet redat.

      înainte

      Mitachi Dental Health

      după

      Mitachi Dental Health
      Mitachi Dental Health

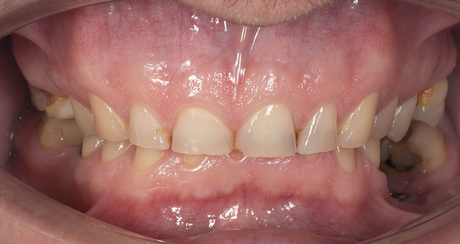
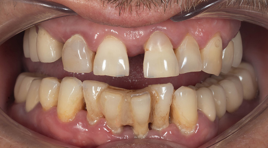
      Pacient, 63 de ani

      Pacienta s-a prezentat cu dinți irecuperabili și lucrări vechi care îi afectau zâmbetul și confortul.
      Am realizat o reabilitare completă cu dantură fixă din zirconiu pe 6 implanturi la maxilarul superior, iar la mandibulă am refăcut lucrări fixe din zirconiu pe implanturile laterale și fațete pe dinții frontali.
      Rezultatul: un zâmbet restaurat, confort și încredere redobândite!

      înainte

      Mitachi Dental Health

      după

      Mitachi Dental Health
      Mitachi Dental Health

      Pacient, 57 de ani

      Pacientul s-a prezentat cu probleme estetice și funcționale majore, agravate de mobilitatea generalizată a dinților.
      Am realizat o proteză fixă din zirconiu pe 8 implanturi la maxilarul superior și o proteză fixă din metalo-ceramică pe 7 implanturi la mandibulă.
      Rezultatul: zâmbet stabil, funcțional și complet redobândit!

      înainte

      Mitachi Dental Health

      după

      Mitachi Dental Health
      Mitachi Dental Health

      Pacient, 51 de ani

      Pacientul și-a dorit să își recâștige zâmbetul pierdut din cauza „parodontozei”.
      Am realizat o reabilitare completă cu dantură fixă din zirconiu, pe câte 8 implanturi pe fiecare arcadă, oferindu-i stabilitate și estetică impecabilă.
      Rezultatul: un zâmbet natural, puternic și durabil, care îi redă încrederea și confortul de a zâmbi din nou.

      înainte

      Mitachi Dental Health

      după

      Mitachi Dental Health
      Mitachi Dental Health

      Pacient, 54 de ani

      Pacientul se afla într-un stadiu critic al sănătății dentare, care îi afecta grav funcția și confortul.
      Am realizat două proteze fixe metalo-ceramice pe câte 4 implanturi, sus și jos, redându-i posibilitatea de a mânca fără durere și zâmbetul pierdut.
      Rezultatul: confort, stabilitate și încredere redobândite!

      înainte

      Mitachi Dental Health

      după

      Mitachi Dental Health

      Cunoașteți echipa care va avea grijă să vă redați zâmbetul

      Dr. Mitachi nu este doar un studio dentar, ci o echipă de specialiști formați la standarde internaționale, dedicată soluțiilor personalizate pentru fiecare pacient.

      Mitachi Dental Health

      Dr. Mitachi Constantin – fondator

      Cu o experiență de peste 9 ani în chirurgia și protetica dentară, Dr. Mitachi îmbină precizia intervențiilor chirurgicale cu expertiza în estetică dentară și reabilitări orale complexe. Viziunea sa profesională se reflectă în dezvoltarea unei clinici moderne, orientate spre tratamente minim invazive, soluții personalizate și o stomatologie construită în jurul confortului dvs.
      Absolvent la Universitatea de Medicină G.T. Popa, din Iași, și-a continuat formarea prin rezidențiat în chirurgie dento-alveolară, urmată de numeroase cursuri de perfecționare în centre internaționale.

      Mitachi Dental Studio
      Mitachi Dental Studio
      Mitachi Dental Studio
      Mitachi Dental Studio
      prev
      next
      Stratan Ion

      Stratan Ion

      Experiența 6 ani

      Medic Stomatolog: terapeut și protetician

      Cardaș Adelina-Ioana

      Cardaș Adelina-Ioana

      Experiență 6 ani

      Medic Stomatolog: terapeut

      Mușet Pavel

      Mușet Pavel

      Experiența 3 ani

      Medic Stomatolog: terapeut

      Matricală Maxim

      Matricală Maxim

      Experiența 3 ani

      Medic Stomatolog: terapeut

      Ciobanu Andrei

      Ciobanu Andrei

      Experiența 13 ani

      Tehnician Dentar

      Marcu Irina

      Marcu Irina

      Experiența 10 ani

      Tehnician Dentar

      Ceban Nichita

      Ceban Nichita

      Experiența 3 ani

      Tehnician Dentar

      prev
      next

      Certificări și acreditări care susțin profesionalismul nostru

      Mitachi Dental Studio
      Mitachi Dental Studio
      Mitachi Dental Studio
      Mitachi Dental Studio
      Mitachi Dental Studio
      Mitachi Dental Studio
      Mitachi Dental Studio
      Mitachi Dental Studio
      Mitachi Dental Studio
      Mitachi Dental Studio
      Mitachi Dental Studio
      Mitachi Dental Studio
      prev
      next

      Aflați mai multe despre experiența și expertiza medicilor

      Echipamente moderne pentru un tratament precis și sigur

      Tehnologia pe care o folosim ne ajută să vă oferim tratament predictibil, adaptat situației dvs. și realizat cu un nivel ridicat de control.

      Mitachi Dental Health

      Leica Dental microscope

      Mitachi Dental Health

      Kavo handpieces

      Mitachi Dental Health

      Primemill Sirona, Germany

      Mitachi Dental Health

      Axeos

      Mitachi Dental Health

      CJ-Optik microscope

      prev
      next

      PLATA ÎN RATE

      Beneficiați de dantură fixă chiar acum, achitând în rate.
      Alegeți opțiunile și calculați rata lunară estimativă.

      În câte rate doriți să achitați?

      12 luni
      0 MDL
      Vreau detalii despre rate

      Găsiți mai jos răspunsuri clare la cele mai frecvente întrebări

      [01] Ce este dantura fixă?

      Sunt dinți fixați pe implanturi care, spre deosebire de protezele mobile, nu se scot de către pacient.

      [02] Ce trebuie să fac înainte de operație?

      ● Consultul medicului chirurg
      ● Radiografie dentara 3D
      ● Înțelegerea și acceptarea planului de tratament
      ● Informarea medicului despre orice afecțiune sau tratament în derulare

      [03] Intervenția doare?

      Nu, procedura se face sau sub anestezie locală, unde pacientul este conștient dar nu simte durere în timpul intervenției, sau sub anestezie generală, în stare inconștientă. Postoperator, se pot simți ușoare disconforturi, care pot fi controlate cu medicamente obișnuite.

      [04] Cât costă dantură fixă pe implanturi?

      Numărul de implanturi, materialul folosit pentru lucrarea finală și complexitatea cazului definesc prețul danturii fixe. Medicul întocmește un plan de tratament personalizat după consult detaliat al cazului.

      [05] Pot apela la dantura fixă pe implanturi dacă mi s-a spus anterior că nu am suficient os?

      În cele mai multe cazuri, da. Tehnicile moderne permit inserarea implanturilor chiar și la pacienții cu resorbție osoasă, cu ajutorul adiții de os.

      [06] Rămân fără dinți pe perioada de reabilitare?

      Nu, în decurs de 24 de ore, se realizează și montează o lucrare provizorie fixă, astfel încât pacientul nu rămâne fără dinți.

      [07] Cât timp durează perioada de reabilitare?

      4-6 luni este perioada necesară ca implanturile să se integreze în os. După acesta, se realizează lucrarea finală.

      Recenzii din social media

      Peste 100 de pacienți și-au împărtășit experiența. Le suntem recunoscători pentru încredere și continuăm să oferim îngrijire și rezultate de calitate.

      Mitachi Dental Studio

      Maria Ionașcu

      Mitachi Dental Health

      Dantura fixă mi-a adus libertatea de a mânca normal și de a zâmbi fără rețineri. Simt că am întinerit și că trăiesc altfel.

      Mitachi Dental Studio

      Vasile Rusu

      Mitachi Dental Health

      Nu-mi imaginam că o să pot mușca dintr-un măr din nou. Intervenția a fost rapidă și rezultatul depășește orice așteptare.

      Mitachi Dental Studio

      Ludmila Țurcanu

      Mitachi Dental Health

      Aveam nevoie de o soluție stabilă și estetică. Dantura fixă mi-a redat încrederea în comunicare și în viața de zi cu zi.

      Mitachi Dental Studio

      Anatolie Ciobanu

      Mitachi Dental Health

      Proteza mobilă mă incomoda mereu. Cu dantura fixă am stabilitate, confort și libertatea de a mânca orice.

      Mitachi Dental Studio

      Ecaterina Botezatu

      Mitachi Dental Health

      Arăt mult mai bine, zâmbesc des și nu mă mai feresc de poze. A fost o investiție excelentă.

      Mitachi Dental Studio

      Ion Moraru

      Mitachi Dental Health

      Am venit special pentru tratament și a meritat fiecare drum. Lucru profesionist și rezultat impecabil.

      Mitachi Dental Studio

      Tamara Dascălu

      Mitachi Dental Health

      Am fost sceptică până am văzut rezultatul. Mă simt din nou eu și mănânc normal fără frică.

      Mitachi Dental Studio

      Andrei Ganea

      Mitachi Dental Health

      Mi-era frică de durere, dar totul a decurs foarte ușor. Rezultatul e natural și stabil.

      Mitachi Dental Studio

      Natalia Croitor

      Mitachi Dental Health

      Aveam multe complexe. Acum zâmbesc liber și lumea mă întreabă ce schimbare am făcut.

      Mitachi Dental Studio

      Petru Balan

      Mitachi Dental Health

      Am intrat cu emoții și am ieșit alt om. Dantura fixă e comodă, arată natural și stă perfect.

      Whatsapp
      phone
      Messenger